Cervikální oblast páteře je vystavena zvýšenému zatížení, které se děložní svaly snaží vést k rovnováze během vlivu výše uvedených zdrojů. To vyvolává vzhled svalového křeče, kvůli kterému dochází k porušování přepravy krve v celém těle. Výsledkem je, že je zaznamenána tvorba anatomického poškození.
- Sedavý životní styl.
- Práce spojená s dlouhými monotónními pohyby.
- Sport jako těžké fyzické napětí.
Osteochondrosis, onemocnění století a to je důvod, a zbytek je pravděpodobnější důsledkem, který vede k rozvoji nemoci. Projevy nemoci jsou rozmanité a při první návštěvě neuropatologa není vždy možné provést přesnou diagnózu. V každém případě, když jsme cítili nevolnost a první příznaky, navštěvujeme radikulitidu lékaře. Diagnostika a zahájení léčby na základě výsledků vyšetření. V rané fázi, vyléčit, možná jakoukoli patologii. Osteochondrosis v oblasti děložního čípku je chronická, pomalu progresivní onemocnění páteře, ve kterém jsou ovlivněny a zničeny obratle, meziobratlové klouby a disky. Obratle od prvního až sedmého, které patří do krční oblasti, trpí. Jak onemocnění postupuje, meziobratlové disky ztrácejí elasticitu a sílu, vyrovnávají se, relaxujte, jejich amortizující vlastnosti se zhoršují. K takové deformaci dochází v důsledku změn způsobených poruchami výkonu a vyčerpáním tkání. Tato porušení jsou jedním z přirozených procesů stárnutí těla, ale různá přetížení, poruchy držení těla, zranění, vrozené abnormality páteře a některé další příčiny vyvolávají včasné opotřebení chrupavky a disků. Stále více mladých lidí si vybírá sedavou práci. Absence řádně organizovaného pravidelného zatížení vede k oslabení svalů, které fixují páteřní sloupec, snížení metabolismu a krevního oběhu v meziobratlových prostorech. Výsledkem je, že v důsledku jednoho času fyzické aktivity může dojít k sevření míšních nervů nebo se vytváří meziobratlové kýlové kýly. Deformace páteře (Lordóza, Kyphosis, Scoliosis) je jednou z příčin osteochondózy
- Nadměrná fyzická aktivita ve sportu nebo silné fyzické práci;
- dědičná predispozice;
- Hypotermie krku (chůze v zimě bez šátku);
- stres;
- pracovat v počítači;
- obezita.
Některé z výše uvedených příčin způsobují osteochondrosu a jinou páteř. Cervikální osteochondroza se vyvíjí s nadměrnou zatížením této části páteře. Svaly krku se ji snaží snížit, což vede k křečkům, poruchám oběhu a v důsledku toho k degenerativním procesům v páteři. Toto onemocnění je nebezpečné, protože obratlová tepna prochází blízko oblasti léze, která krmí mozek. Při přemístění disků, růstu vláknité tkáně dochází k provozu krevních cév. Pro úspěšnou léčbu osteochondózy děložní oblasti je nejprve nutné prokázat příčinu výskytu, předpoklady, které vyvolaly její vývoj a eliminovaly je. Až donedávna byla nemoc nalezena pouze u lidí ve věku 45 let. Nyní jsou mladí lidé předmětem 18–25 let. Hlavní příčiny a předpoklady pro výskyt osteochondrosy cervikálního obratle jsou:
- Porušení držení těla v mladém nebo dospívání.
- Nadměrná hmotnost, obezita různých stupňů. Extra libra zvyšují zátěž na obratlech a discích, což vede k degenerativním procesům.
- Wending Spine, Scoliosis.
- Zranění zad, která se mohla stát v dětství nebo dospívání.
- Porušení metabolických procesů.
- Práce související s fyzickou prací, která může vyvolat onemocnění páteře v různých odděleních.
- Levný životní styl, sedící práce, nesprávný výkon jakýchkoli cvičení.
- Stres, nervové stresy negativně ovlivňují obecný stav těla, mohou způsobit cervikální osteochondrosu.
- Přenesená infekční choroby se často stávají hlavní příčinou.
- Špatná, nepříjemná poloha těla během spánku (například nepříjemný polštář).
- Vrozené problémy nebo přítomnost dědičných chorob.
Hlavní příčinou výskytu nemoci je sedavý životní styl, kvůli kterému se zdá, že živiny „stagnují" a nedosahují se cíle-páteře. Existují však i další:
- Nedostatek fyzické aktivity a sportů v důsledku toho špatně rozvinutý svalový korzet
- Nadměrná fyzická aktivita
- Kouření a zneužívání alkoholu
- Zneužívání příliš mastných a slaných potravin, „rychlých" uhlohydrátů
- Nadměrná hmotnost
- dědičnost
- generické nebo jiné zranění
- Původně zakřivené držení těla
- Přenesly infekční onemocnění komplikacemi na páteři
- Přirozené stárnutí těla
Hlavními příčinami osteochondózy děložního čípku jsou sedavý životní styl. Patologie jsou nejvíce náchylné k řidičům, kancelářským pracovníkům, milenci, aby seděli poblíž obrazovek monitoru. Vzhledem k neustálému sedavému obrazu as nedostatkem fyzické námahy mohou:
- Existují porušení metabolických procesů;
- vložení solí v játrech, ledvinách, krku;
- Zvyšuje se stupeň solí v lymfatické tekutině a průtoku krve.
Porušení obratle je vyvoláno kvůli nedostatku živin meziin-inter- (přerušovaný disk. Možné příčiny osteochondózy cervikální oblasti jsou také nevyváženou, nesprávnou výživou. Nejčastějšími faktory pro osteochondrosis of Cervical páteř:
- Nadměrná hmotnost, hormonální nerovnováha;
- silná fyzická aktivita, těžká pro lidské tělo;
- Genetická predispozice;
- konstantní stres, nervové napětí;
- poškození držení těla (revmatismus, skolióza atd. );
- trauma v krku, páteř;
- abnormality ve vývoji oddělení krku, ploché nohy;
- hypotermie těla;
- změny související s věkem;
- Sportovní aktivita.
Mnoho z výše uvedených faktorů tvoří zátěž na obratlech krku, a proto se objevuje svalový křeč. V důsledku toho se projevují oběhové poruchy, metabolické procesy se snižují, což vede k degenerativní odchylům. Někdy, s cervikální osteochondrosou, může být příčinou tvorby vyvíjející se disk, který je přenášen do kostní tkáně a blízkých obratlů. Často se objevuje s prodlouženou fyzickou námahou.
Metody prevence nemoci
Osteochondrosis je opakující se degenerativní dystrofická patologie, která probíhá na pozadí postupného ničení meziobratlových disků a deformace kostí. Z obvyklého způsobu života je nutné vyloučit faktory, které vyvolávají zhoršení trofiky chrupavkových tkanin. Jedná se o nízkou motorickou aktivitu, nadměrná hmotnost, nadměrná fyzická aktivita, nedostatek ve stravě produktů s vysokým obsahem stopových prvků, vitamíny.
Osteochondrosis of Cervical obratle prochází některé fáze, které jsou klasifikovány podle různých příznaků. Rozlišit 4 fáze vývoje patologie:
- V zásadě je v první fázi nemoci v zásadě zaznamenáno nevyhlazené vyhlazení cervikálního ohybu (lordóza). Klinický projev je nevýznamný, nelze pozorovat závažné bolesti krku, které se zhoršují zatáčením hlavy a napětí svalů. Tato fáze je léčena bez léčiv, hlavní věcí je změnit výživu, cvičení atd.
- Existuje nestabilita mezi obratlemi, jejich přemístěním, Thuria může dojít. Pacient má zvýšenější bolesti přenášené na ramena, ruce. Výška disků se zmátí, kvůli tomu dochází k porušování nervů. Pacient cítí únavu, bolesti hlavy, úroveň pracovní kapacity, nepozornost klesá.
- Dochází ke snížení výšky meziobratlových disků, zúžení děr, kýla se začíná tvořit. Bolest krku a ramen se zvyšuje, svaly rukou oslabují, dochází k necitlivosti, malátnost, závratě. Diagnóza určuje slabou mobilitu krku.
- Ve 4 stádiích je pozorováno ničení disku, jsou nahrazeny pojivovou tkáň. Takový současný bolí několik částí hřebene, které jsou v různých stádiích porušení. U lidí může dojít k lidem koordinační změny, bolest, závratě, hluk v uších a tak.
Příznaky onemocnění v krku se výrazně liší od příznaků osteochondrosy v jiné oblasti obratlového sloupce. Protože jsou děložní obratle umístěny blízko, kořeny nervů a mícha jsou sevřeny. To vede ke vzniku takových znaků:
- Syndrom bolesti je lokalizován v krku, zátylkách, ramenou, pažích a nohách. V době, kdy se připojili k nervovým receptorům, se vzhled nepříjemných pocitů v ramenní zóně, zadní části hlavy, ruce začnou přestavět. Vzhledem k křečím v děložních svalech je narušena krevní oběh.
- Výskyt slabosti na horních končetinách je zaznamenán, spojen s poškozením funkčnosti kořenů, které přispívají k zahrnutí motorických nervů, které přestavují svalovou tkáň do rukou.
- Horní končetiny jsou přestavěny kvůli snížení citlivosti v nich, porušování kořenů, ve kterých jsou umístěny citlivé nervové zakončení.
- Při otočení hlavy se objevují bolestivé pocity, můžete také slyšet krizi. To je vysvětleno poškozením malých kloubů cervikální oblasti, což je snížení úrovně meziobratlových disků.
- Pacient si stěžuje na nedostatečnou sílu, výskyt únavy, závratě, poruchy koordinace. Vzhledem k posunutí prvků páteře je obratlovce vytlačena. Z tohoto důvodu se krevní oběh zhoršuje, což vede k oslabení přísunu krve do týlního řezu a mozečku.
- Je zaznamenán výskyt problémů se zrakem, ztráta citlivosti v jazyce.
Symptomy pro děložní osteochondrosu u žen se neliší od znaků u mužů. Ženy, které dosáhly 45 let a starších, které jsou diagnostikovány s takovou nemocí, všimnou necitlivosti a brnění v horních končetinách ve snu.
Metody léčby cervikální osteochondózy
Mezi hlavní známky osteochondózy cervikální oblasti patří:
- Bolest v zadní části hlavy, krku, paže a ramene, které se zintenzivňují při kýchání, kašli a minimálním zatížení na paži;
- hořící mezi lopatkami, brnění v nohou nebo pažích, necitlivost;
- Bolest a chrub v krku, které se vyskytují během naklápění a zatáčení hlavy;
- únava, slabost;
- mdloby a závratě vyplývající z ostrých otáček hlavy;
- Bolesti hlavy, které obvykle začínají v zadní části hlavy, se šíří do chrámů a koruny.
Mezi další příznaky osteochondrosy děložního čípku patří šum v uších, poruch sluchu a snížení zrakové ostrosti. Někdy se tato nemoc pociťuje tažením bolesti v oblasti srdce. Při prvních příznacích děložní osteochondózy se poraďte s lékařem, který provede komplexní vyšetření, diagnózu. V tomto případě lze použít takové diagnostické metody, jako je MRI, laboratorní studie, ultrazvuk, EKG. Stejně jako límce Shantsa - jsou elastické s plastovými nebo kovovými vložkami, gestem, nafukovací. Zařízení se liší výškou, stupněm fixace a konstrukce spojovacích prostředků. Vše záleží na zanedbávání, charakteristických příznacích sevření radikulárního nervu, jakož i na dalších faktorech. Jak vyléčit děložní osteochondrosu nebo snížit její projev léky:
- Anti -zánětlivá léčiva nesteroidního typu. Léky zmírňují otoky, bolest, zmírňují stav pacienta.
- Vitaminy B s osteochondrosou cervikální oblasti. Přispívat ke zrychlení metabolických procesů v měkkých tkáních.
- Stimulanty zotavení. Pomáhají obnovit chrupavkovou tkáň i na poškozeném disku.
- Skupina drog, která pomáhá zmírnit svalové křeče.
- Anestézie.
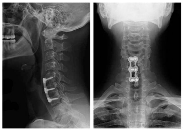
Cervikální osteochondrosis je léčena konzervativními metodami a léčba je vždy komplexní. Lékařská terapie je stejná pro osteochondrosu jakéhokoli oddělení: Používejte léky z určitých farmakologických skupin, ale výběr specifických léčiv z těchto skupin, dávkování, trvání příjmu je pro každého pacienta vybírána individuálně. X -ray obrázek krční páteře po chirurgickém ošetření obratlů C5 - C7 je doplněn dočasným nošením límce chanstz nebo jeho odrůd. Vzhledem k fixaci cervikálních obratlů se osteochondrosis děložní oblasti léčí rychleji. Toto další ortopedické zařízení pomáhá vyrovnat se s bolestí, normalizuje průtok krve cévy krku a zlepšuje obecný stav pacienta.
Závažnost symptomů onemocnění cervikální osteochondrosy závisí na stupni destrukce struktur obratů. Symptomy se zhoršují růstem kostní tkáně s tvorbou osteofytů, radikulárním syndromem (bolest kořenů při sevření nervu), meziobratlové kýly (vyčnívání disku v páteřním kanálu). Prvními známkami nemoci jsou periodická bolest hlavy v zátylce, bolestivost v krku, kliknutí a kliknutí v obratlech při otáčení hlavy, někdy i mírné brnění. V průběhu času rostou příznaky a intenzita bolesti se zesiluje. Je obtížné zvednout ruku ze strany porážky - okamžitě je v rameni nebo krku výstřel. Omezení pohybů hlavy v důsledku bolesti se často vyskytuje ráno po spánku v nepohodlné poloze. Onemocnění vede k stisknutí kořenů periferních nervů (syndrom roeyomů) a způsobuje bolest podél těchto nervů. Je možné znecitlivit ruce nebo prsty, porušení citlivosti určitých oblastí kožních oblastí inervovaných sevřeným nervem.


















